Unsere Leistungen – Präzision, Qualität, Vertrauen

Alles, was moderne und traditionelle Zahntechnik zu bieten hat – aber nur das, wovon wir zu 100 % überzeugt sind.

Das Ergebnis im Blick

Von klassischer Abformung bis zu digitalen Daten: Wir arbeiten in allen Verfahren präzise und mit einem echten Blick für das, was Patient:innen brauchen. Dabei sind Sorgfalt, Zuverlässigkeit und ein hoher persönlicher Anspruch für uns selbstverständlich. Erst wenn Ihre Patient:innen Ihnen ein zufriedenes Lächeln schenken, sind auch Sie zufrieden und wir ebenso.

Bronzefarbenes Wappen-Symbol mit der Aufschrift „4 Jahre Gewährleistung“.

Wir sind überzeugt von unserer Arbeit – deshalb verlängern wir die gesetzliche Gewährleistungspflicht von zwei Jahren um weitere zwei Jahre. Als Kunde können Sie demnach die gesetzlichen Gewährleistungsrechte insgesamt 4 Jahre nach Abnahme uns gegenüber geltend machen.

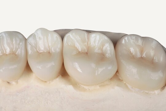
Nahaufnahme von vier fertigen, hochglänzenden Zahnkronen oder Brückengliedern in natürlicher Farbe, die auf einem Gipsmodell eines Kiefers sitzen.

Festsitzender Zahnersatz

Egal, ob eine einzelne Krone bei starkem Substanzverlust, eine Brücke als Ersatz verlorener Zähne oder ästhetische Verschönerungen wie Veneers – festsitzender Zahnersatz verlangt besondere Sorgfalt. Gerade kleine Arbeiten können den Biss und die Funktion empfindlich stören. Mit unserer Erfahrung sorgen wir dafür, dass alles präzise passt und sich für die Patient:innen natürlich anfühlt. Auch bei reinen Schönheitslösungen wissen wir, was sich Menschen wünschen: Zähne, die gepflegt aussehen und Selbstbewusstsein geben.

  • Kronen
  • Brücken
  • Inlays
  • Veneers
Eine Person in weißer Kleidung hält mit beiden Händen eine vollständige, rosafarbene Zahnprothese (Gebiss) mit einer Reihe weißer Zähne.

Herausnehmbarer Zahnersatz

Wenn viele Zähne fehlen, braucht es eine Versorgung, die sich zum Reinigen herausnehmen lässt. Dabei sind Veränderungen durch den Rückgang von Knochen und Zahnfleisch eine echte Herausforderung. Der Ersatz verlorengegangenen Zahnfleisches bedarf dabei besonderer Sorgfalt: „Nicht zu viel und nicht zu wenig“ ist hier entscheidend. So bleibt die Gesichtsform harmonisch, Druckstellen werden vermieden und die Prothese sitzt angenehm, damit Ihre Patient:innen sich damit wohlfühlen können.

  • Klammerprothetik
  • Flexible Klammerprothetik
  • Totalprothetik
  • Coverdenture auf Locatoren und Ankern
  • Knirscherschienen
Portrait von Friedo vom Schemm (Inhaber)

„Manchmal führt ein Umweg schneller ans Ziel, wenn man früh genug erkennt, dass Steine auf dem Weg liegen.“

Friedo vom Schemm, Inhaber

Nahaufnahme eines zahntechnischen Modells, das eine Teilprothese oder Teleskopkrone auf einem Gipsstumpf zeigt. Die Arbeit besteht aus weißen Zähnen mit goldfarbenen Metallunterkonstruktionen und einem rosafarbenen Zahnfleischanteil.

Kombinierter Zahnersatz

Bei kombiniertem Zahnersatz treffen feste und herausnehmbare Elemente aufeinander. Hier zählt die perfekte Balance zwischen Funktionalität und Ästhetik. Ob Teleskope, Geschiebe oder Riegel – wir bringen langjährige praktische Erfahrung ein, um für jede Situation die passende Lösung zu finden. Gerade weil es für viele Patient:innen die erste herausnehmbare Prothese ist, legen wir besonderen Wert auf Komfort. Oft hören wir am Ende: „Das hatte ich mir viel schlimmer vorgestellt.“

  • Teleskopprothetik
  • Geschiebetechnik
  • Riegeltechnik
  • Ankertechnik
Nahaufnahme einer Hand in einem schwarzen Schutzhandschuh, die eine festsitzende, implantatgetragene Prothese hält. Die Prothese besteht aus rosafarbenem Zahnfleischersatz, weißen Zähnen und freiliegenden Abutments.

Implantat-Zahnersatz

Implantatversorgungen sind eine besondere Disziplin, denn hier geht es nicht nur um den Ersatz von Zähnen, sondern auch um den Umgang mit Verlust von Knochen und Zahnfleisch. Damit das Ergebnis sowohl funktional als auch ästhetisch überzeugt, braucht es sorgfältige Planung und präzise Umsetzung. Wir nehmen uns Zeit für den Austausch mit der Praxis, sprechen offen über Erwartungen, Möglichkeiten und Grenzen und entwickeln gemeinsam die Lösung, die für Patient:innen wirklich passt.

  • Alle Arten von Zahnersatz
  • Verarbeitung jedes Implantatsystems
Symbolische Darstellung eines gemeinsamen Teams oder einer Gemeinschaft im Gesundheitswesen. Die braune Umrisslinie eines Herzens umschließt die Silhouetten von drei Personen in einem hellbraunen Kreis.

Zuhören und den Auftrag umsetzen ist unsere Pflicht.
Mitdenken um den besten Weg zu finden ist die Kür und gehört zu unserer DNA.

Ihre Patient:innen verdienen das Beste

Haben Sie Fragen oder möchten Sie mehr über unser Angebot erfahren? Lassen Sie uns gemeinsam herausfinden, wie wir Sie unterstützen können – wir freuen uns auf Ihre Nachricht.